FORMACIÓN

CURSO "CUBRIMIENTO DE RECESIONES TIPO I Y II Y TRATAMIENTO DE DEFECTOS EN IMPLANTES POST-EXTRACCIÓN”

Madrid Sáb, 28/10/2017

Madrid, 28 de Octubre de 2017

Dr. Carlos Cruz Rodríguez

Objetivos: 

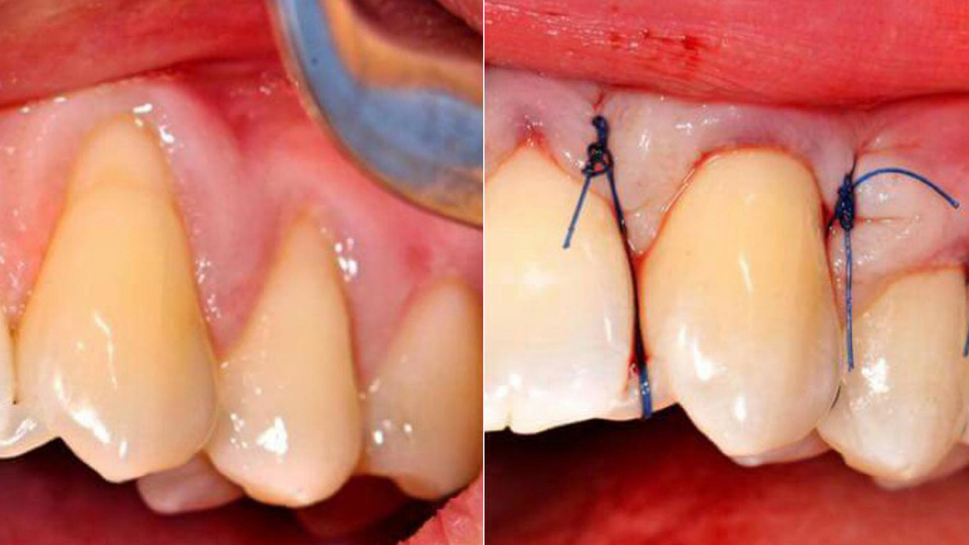
El objetivo del curso es que los doctores conozcan las técnicas básicas de la cirugía mucogingival para cubrir recesiones tipo I y II, a la vez que sean capaces de solucionar con éxito las complicaciones existentes tras la colocación de implantes en defectos óseos.

El curso incluye un interesante taller práctico de colocación de implantes en defectos óseos con injerto de hueso, membrana y tejido conectivo, así como colocación de chinchetas y tornillos de osteosíntesis.