CASOS CLÍNICOS
Caso clínico nº3: Cirugía guiada
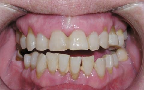
Paciente 50 años con grave problema periodontal. Severa pérdida de inserción y movilidad dental además de problema estético. Desea mejorar su sonrisa.
Plan de tratamiento: Rehabilitación maxilar con colocación de 10 implantes Microdent de conexión protésica interna del sistema Genius con cirugía guiada.
Gallery