CASOS CLÍNICOS
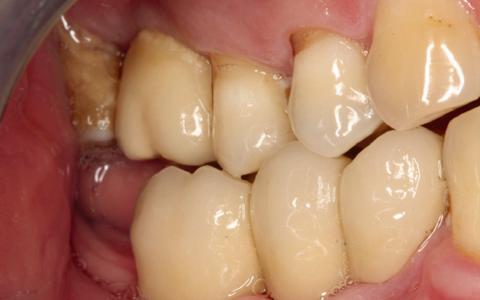
Caso Clínico nº13: Expansión ósea
Paciente de 47 años que desea “recuperar los dientes del sector inferior izquierdo” se le propone colocar los dientes 4.4- 4.5- 4.6, colocando dos implantes, se realiza una expansión y colocación de los implantes detrás del mentoniano y delante del dentario.
Plan de tratamiento: Expansión extrema lateral al nervio dentario inferior.
Gallery